Navigation for Nine To Noon
Override - a quest to go beyond brain training
MRI scan of Caroline William's brain. Credit:University of Kansas
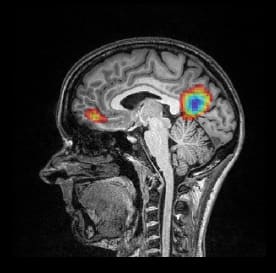
MRI scan of Caroline William's brain, showing the areas of the brain involved in sustaining attention. Credit:Boston Attention and Learning Lab
The not-particularly inviting 1950 disused hospital room where the magnetic brain stimulation took place.
A screenshot of the cognitive bias modification training Caroline Williams used to try and retrain her stress bias. Credit:Mark Baldwin, McGill University.
Caroline Williams with her brain wired up to a 9 volt battery before a session of transcranial direct current stimulation. The aim was to turn down activity in the thinking parts of the brain (under the electrode) to allow weaker, creative signals to burst through.
Having a structural and functional MRI scan to see the size and activity of relevant parts of Caroline's brain.
n.
Wearing the FeelSpace belt, which buzzes at the north-facing part of the waist. In time it helped Caroline re-draw her mental map of her home town, aligned to magnetic north.
Caroline wearing the FeelSpace with her dog
Beginning to feel confident to explore, using the FeelSpace
A glimpse into the future of Override? Caroline Williams tried neuro feedback, in which you can learn to control your own brainwaves in real time.
How London's major landmarks are mapped in Caroline's brain. (Or not) As measured by the iJRD app at the University of Pennsylvania (which can be downloaded at http://spatialcognitionapp.com/iJRD.html)
The images in this gallery are used with permission and are subject to copyright conditions.